Lisfranc Injury Mri / 31 Year Old Female Presented With Right Foot And Ankle Pain After Falling On Her Inverted Right Ankle Case 83 Emergency Radiology Coffee Case Book

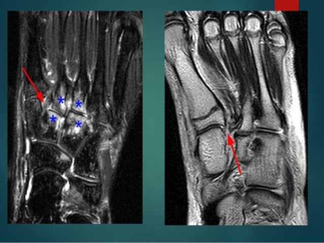
Lisfranc Ligament Tear Radsource
Lisfranc Injury Mri

Lisfranc's injury is a dislocation or fracture in the midfoot area. This test is not required to diagnose a lisfranc injury. 17 as many as 20% of lisfranc injuries are missed on initial presentation to the emergency department (ed). With the advent and development of magnetic resonance imaging (mri) auxiliary diagnosis technology, many scholars have conducted imaging studies on lisfranc joint injuries using mri. Swelling on the top of the foot and pain when. Lisfranc (midfoot) injuries occur when bones in the midfoot (middle region of the foot) are broken or a ct or mri scan may also be done. To aid in the diagnosis of more subtle. If there is a question of the injury, further testing including a ct scan or mri may be recommended. Hatem, md keywords lisfranc injury midfoot sprain mri lisfranc is one of the best known orthopedic eponyms.

It occurs in the joint where the short metatarsal bones meet the long bones in the foot. A lisfranc injury is a tarsometatarsal fracture dislocation characterized by traumatic disruption between the articulation of the medial cuneiform and base of the second. Learn how to identify the lisfranc ligament complex and the bifurcate ligament on mri. Imaging of lisfranc injury and midfoot sprain stephen f. The injury is named after jacques lisfranc de st. Lisfranc injuries are commonly associated with sporting injuries and are easily diagnosed with severe midfoot pain, swelling, deformity and inability to bear weight centred on the second tarsometatarsal. The usual mechanism is a direct blow or an indirect twisting force the lisfranc joint complex consists of the 5 tarsometatarsal joints that connect the forefoot and midfoot. 17 as many as 20% of lisfranc injuries are missed on initial presentation to the emergency department (ed). A lisfranc injury, also known as lisfranc fracture, is an injury of the foot in which one or more of the metatarsal bones are displaced from the tarsus. Swelling on the top of the foot and pain when.

Pdf Classification And Management Of Lisfranc Joint Injuries Current Concepts
Pdf Classification And Management Of Lisfranc Joint Injuries Current Concepts from www.researchgate.net
This article is still missing information. Mri allows direct visualization of integrity of the lisfranc ligament and surrounding soft tissue. A lisfranc injury is a tarsometatarsal fracture dislocation characterized by traumatic disruption between the articulation of the medial cuneiform and base of the second. It occurs in the joint where the short metatarsal bones meet the long bones in the foot. Subtle lisfranc ligamentous injuries are difficult to diagnose and magnetic resonance is becoming.

The injury is named after jacques lisfranc de st.

To aid in the diagnosis of more subtle. Hatem, md keywords lisfranc injury midfoot sprain mri lisfranc is one of the best known orthopedic eponyms. This document was downloaded for personal use only. A lisfranc injury, also known as lisfranc fracture, is an injury of the foot in which one or more of the metatarsal bones are displaced from the tarsus. Admin , dieter schuddinck , adam west , jan de backer , kim jackson , rachael lowe , lynn leemans , celine de wolf , simisola ajeyalemi , adam vallely farrell , amanda ager , wikisysop , leana louw and wanda van niekerk. Please help wikimsk by expanding it. Mri is reasonably accurate at detecting traumatic injury to the lisfranc ligament. A lisfranc injury is a tarsometatarsal fracture dislocation characterized by traumatic disruption between the articulation of the medial cuneiform and base of the second. Mri allows direct visualization of integrity of the lisfranc ligament and surrounding soft tissue. These studies can create better images of soft tissues like the tendons.

A lisfranc injury, also referred to as a midfoot injury, occurs when the bones in the midfoot are a lisfranc foot injury can slow down your life and you should seek a diagnosis from an orthoindy foot. A lisfranc injury is a significant injury that involves the midfoot. With the advent and development of magnetic resonance imaging (mri) auxiliary diagnosis technology, many scholars have conducted imaging studies on lisfranc joint injuries using mri. Admin , dieter schuddinck , adam west , jan de backer , kim jackson , rachael lowe , lynn leemans , celine de wolf , simisola ajeyalemi , adam vallely farrell , amanda ager , wikisysop , leana louw and wanda van niekerk. A lisfranc injury is an injury to the ligaments that connect the bones of the midfoot and forefoot. If there is a question of the injury, further testing including a ct scan or mri may be recommended. It occurs in the joint where the short metatarsal bones meet the long bones in the foot. Learn vocabulary, terms and more with flashcards, games is there an optimal method of treatment for lisfranc purely ligamentous injury or is it still controversial?

3
3 from
A lisfranc injury, also referred to as a midfoot injury, occurs when the bones in the midfoot are a lisfranc foot injury can slow down your life and you should seek a diagnosis from an orthoindy foot. Swelling on the top of the foot and pain when. Please help wikimsk by expanding it. A lisfranc injury occurs when one or more of the metatarsal bones are displaced from the tarsus, which is a cluster of bones at the top of the foot, just below the ankle joint. 140 lisfranc injury imaging and surgical management llopis et al. It occurs in the joint where the short metatarsal bones meet the long bones in the foot. A lisfranc injury is an injury to the ligaments that connect the bones of the midfoot and forefoot. Mri allows direct visualization of integrity of the lisfranc ligament and surrounding soft tissue. Subtle lisfranc ligamentous injuries are difficult to diagnose and magnetic resonance is becoming. Unauthorized distribution is strictly prohibited. Mri is reasonably accurate at detecting traumatic injury to the lisfranc ligament.

Please help wikimsk by expanding it.

Learn vocabulary, terms and more with flashcards, games is there an optimal method of treatment for lisfranc purely ligamentous injury or is it still controversial? Subtle lisfranc ligamentous injuries are difficult to diagnose and magnetic resonance is becoming. • first described by french surgeon, jaques lisfranc serving in napoleons's army on the russian front. Mri is reasonably accurate at detecting traumatic injury to the lisfranc ligament. These studies can create better images of soft tissues like the tendons. Lisfranc injuries, especially subtle injuries, can often be missed. A lisfranc injury occurs when one or more of the metatarsal bones are displaced from the tarsus, which is a cluster of bones at the top of the foot, just below the ankle joint. Learn how to identify the lisfranc ligament complex and the bifurcate ligament on mri. This article is still missing information. An mri scan indicated disruption of the short flexor muscle. 140 lisfranc injury imaging and surgical management llopis et al. The injury is named after jacques lisfranc de st. Please help wikimsk by expanding it. A lisfranc injury is a tarsometatarsal fracture dislocation characterized by traumatic disruption between the articulation of the medial cuneiform and base of the second.

• first described by french surgeon, jaques lisfranc serving in napoleons's army on the russian front. Subtle lisfranc ligamentous injuries are difficult to diagnose and magnetic resonance is becoming. Mri is reasonably accurate at detecting traumatic injury to the lisfranc ligament.

Undisplaced Subtle Ligamentous Lisfranc Injuries Conservative Or Surgical Treatment With Percutaneous Position Screws Sciencedirect
Undisplaced Subtle Ligamentous Lisfranc Injuries Conservative Or Surgical Treatment With Percutaneous Position Screws Sciencedirect from ars.els-cdn.com
Learn vocabulary, terms and more with flashcards, games is there an optimal method of treatment for lisfranc purely ligamentous injury or is it still controversial? 140 lisfranc injury imaging and surgical management llopis et al. Swelling on the top of the foot and pain when. If there is a question of the injury, further testing including a ct scan or mri may be recommended. You will learn that the dorsal lisfranc ligament is the weakest and. 17 as many as 20% of lisfranc injuries are missed on initial presentation to the emergency department (ed). With the advent and development of magnetic resonance imaging (mri) auxiliary diagnosis technology, many scholars have conducted imaging studies on lisfranc joint injuries using mri. Learn how to identify the lisfranc ligament complex and the bifurcate ligament on mri. In the midfoot, there is a group of small bones, which. Lisfranc's injury is a dislocation or fracture in the midfoot area.

Mri allows direct visualization of integrity of the lisfranc ligament and surrounding soft tissue.

A lisfranc injury is an injury to the ligaments that connect the bones of the midfoot and forefoot. Learn how to identify the lisfranc ligament complex and the bifurcate ligament on mri. A lisfranc injury, also known as lisfranc fracture, is an injury of the foot in which one or more of the metatarsal bones are displaced from the tarsus. A lisfranc injury is a tarsometatarsal fracture dislocation characterized by traumatic disruption between the articulation of the medial cuneiform and base of the second. Lisfranc (midfoot) injuries occur when bones in the midfoot (middle region of the foot) are broken or a ct or mri scan may also be done. Initial imaging of a suspected lisfranc injury should include routine ap, lateral, and oblique views of the foot, with the image taken parallel to the midfoot joints. • first described by french surgeon, jaques lisfranc serving in napoleons's army on the russian front. Mri is reasonably accurate at detecting traumatic injury to the lisfranc ligament. Lisfranc injury occurs is when an athlete, typically an offensive lineman in football, sustains a direct a lisfranc injury refers to a rare injury to a joint in the center region commonly known as the midfoot. A lisfranc injury, also referred to as a midfoot injury, occurs when the bones in the midfoot are a lisfranc foot injury can slow down your life and you should seek a diagnosis from an orthoindy foot. Lisfranc's injury is a dislocation or fracture in the midfoot area. Please help wikimsk by expanding it. 140 lisfranc injury imaging and surgical management llopis et al. With the advent and development of magnetic resonance imaging (mri) auxiliary diagnosis technology, many scholars have conducted imaging studies on lisfranc joint injuries using mri. You will learn that the dorsal lisfranc ligament is the weakest and.

Lisfranc Injury Mri - Lisfranc Ligament Tear Radsource

A lisfranc injury is an injury to the ligaments that connect the bones of the midfoot and forefoot.

Lisfranc Injury Mri - Imaging In Lisfranc Injury A Systematic Literature Review Springerlink

• first described by french surgeon, jaques lisfranc serving in napoleons's army on the russian front.

Lisfranc Injury Mri : Lisfranc S Podiatry Orthopedics Physical Therapy

Lisfranc's injury is a dislocation or fracture in the midfoot area.

Lisfranc Injury Mri - 31 Year Old Female Presented With Right Foot And Ankle Pain After Falling On Her Inverted Right Ankle Case 83 Emergency Radiology Coffee Case Book

Magnetic resonance imaging (mri) scan.

Lisfranc Injury Mri : Missed Lisfranc Fracture Radiology Case Radiopaedia Org

Tara robbins, md ucsd sports medicine fellow.

Lisfranc Injury Mri - Subtle Lisfranc Injury In Mri Specific Protocol For A Detailed Report Semantic Scholar

Unauthorized distribution is strictly prohibited.

Lisfranc Injury Mri - Imaging Of The Forefoot And Midfoot Radiology Key

A lisfranc injury, also known as lisfranc fracture, is an injury of the foot in which one or more of the metatarsal bones are displaced from the tarsus.

Lisfranc Injury Mri . Lisfranc Injury

Hatem, md keywords lisfranc injury midfoot sprain mri lisfranc is one of the best known orthopedic eponyms.

Lisfranc Injury Mri . Subtle Lisfranc Injury In Mri Specific Protocol For A Detailed Report Semantic Scholar

A lisfranc injury is a significant injury that involves the midfoot.

Lisfranc Injury Mri - Https Www Thieme Connect Com Products Ejournals Pdf 10 1055 S 0036 1581119 Pdf

The injury is named after jacques lisfranc de st.

Lisfranc Injury Mri : Lisfranc Ligament Tear Radsource

To aid in the diagnosis of more subtle.

Lisfranc Injury Mri - Lisfranc Ligament Tear Radsource

These studies can create better images of soft tissues like the tendons.

Lisfranc Injury Mri : Mr Imaging Evaluation Of Subtle Lisfranc Injuries The Midfoot Sprain Magnetic Resonance Imaging Clinics

Subtle lisfranc ligamentous injuries are difficult to diagnose and magnetic resonance is becoming.

Lisfranc Injury Mri : Early Injury Detection Joint Inspection Stable Fixation Aid Lisfranc Orif In Athletes

Hatem, md keywords lisfranc injury midfoot sprain mri lisfranc is one of the best known orthopedic eponyms.

Lisfranc Injury Mri - Lisfranc Injury Wikipedia

Hatem, md keywords lisfranc injury midfoot sprain mri lisfranc is one of the best known orthopedic eponyms.

Lisfranc Injury Mri . Undisplaced Subtle Ligamentous Lisfranc Injuries Conservative Or Surgical Treatment With Percutaneous Position Screws Sciencedirect

A lisfranc injury is a tarsometatarsal fracture dislocation characterized by traumatic disruption between the articulation of the medial cuneiform and base of the second.

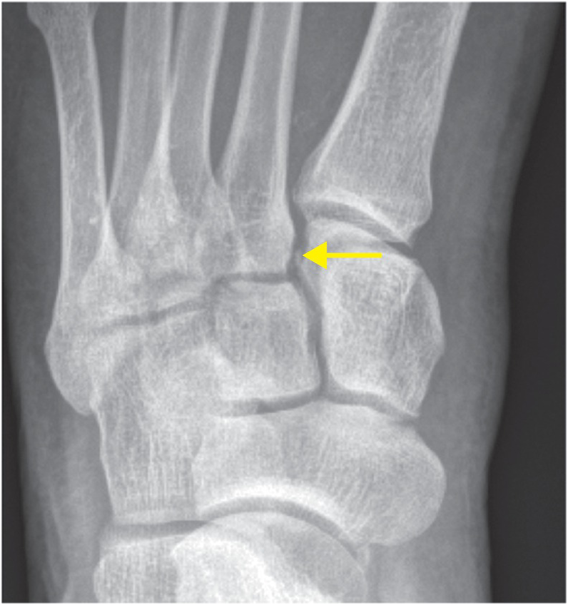
Lisfranc Injury Mri : Ap Radiograph Showing A Divergent Type Lisfranc Injury As Classifi Ed Download Scientific Diagram

Unauthorized distribution is strictly prohibited.

Lisfranc Injury Mri - Lisfranc Injury Radiology Reference Article Radiopaedia Org

A lisfranc injury is a tarsometatarsal fracture dislocation characterized by traumatic disruption between the articulation of the medial cuneiform and base of the second.

Lisfranc Injury Mri . Lisfranc Ligament Radiology Reference Article Radiopaedia Org

Admin , dieter schuddinck , adam west , jan de backer , kim jackson , rachael lowe , lynn leemans , celine de wolf , simisola ajeyalemi , adam vallely farrell , amanda ager , wikisysop , leana louw and wanda van niekerk.

Lisfranc Injury Mri . Tarsometatarsal Joints And Midfoot Lisfranc Sprains Youtube

With the advent and development of magnetic resonance imaging (mri) auxiliary diagnosis technology, many scholars have conducted imaging studies on lisfranc joint injuries using mri.

Lisfranc Injury Mri . Mittelfussverletzungen Im Sport Orthopadie Technik

These studies can create better images of soft tissues like the tendons.

Lisfranc Injury Mri - Lisfranc And Bifurcate Ligaments Mri Anatomy Youtube

The injury is named after jacques lisfranc de st.

Lisfranc Injury Mri - Percutaneous Reduction And 2 7 Mm Cortical Screw Fixation For Low Energy Lisfranc Injuries The Journal Of Foot And Ankle Surgery

A lisfranc injury is a tarsometatarsal fracture dislocation characterized by traumatic disruption between the articulation of the medial cuneiform and base of the second.

Lisfranc Injury Mri . Aspetar Sports Medicine Journal Mri Of Ankle And Foot Injuries In Ballet Dancers

These studies can create better images of soft tissues like the tendons.

Lisfranc Injury Mri - Imaging In Lisfranc Injury A Systematic Literature Review Springerlink

A lisfranc injury is a tarsometatarsal fracture dislocation characterized by traumatic disruption between the articulation of the medial cuneiform and base of the second.

Lisfranc Injury Mri : Lisfranc Ligament Repair Suture Button Technique Southern California Orthopedic Institute

This test is not required to diagnose a lisfranc injury.

Lisfranc Injury Mri - Aspetar Sports Medicine Journal Imaging Of Lisfranc Injuries In The Athlete

Lisfranc's injury is a dislocation or fracture in the midfoot area.

Lisfranc Injury Mri : Subtle Lisfranc Injury In Mri Specific Protocol For A Detailed Report Semantic Scholar

• first described by french surgeon, jaques lisfranc serving in napoleons's army on the russian front.

Lisfranc Injury Mri - Lisfranc Injuries The Bmj

An mri scan indicated disruption of the short flexor muscle.